Медики выявили в мозге пожилого ирландца заполненную воздухом полость: причиной явления оказалась доброкачественная опухоль кости. Помочь пациенту смогло консервативное лечение. Об этом пишет naked-science.ru.
[advert]
Медики в своей практике неоднократно сталкиваются со случаями, которые могут поставить в тупик даже чрезвычайно опытного специалиста. Один из таких инцидентов произошел с 84-летним ирландцем. Случай описал доктор Финлей Браун (Finlay Brown) в издании BMJ Case Reports.

Мужчина пожаловался медикам на проблемы, связанные с плохой координацией. Последние месяцы пожилой ирландец, по его собственным словам, был крайне неуклюж, периодически спотыкался и падал. За несколько дней до похода к врачу он также почувствовал слабость, охватившую левую часть тела. При всем при этом речь и зрение пожилого человека были в полном порядке.
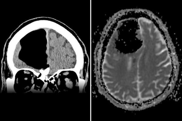
Сначала медики не выявили никаких патологий, придя к выводу о нормальной работе периферической нервной системы. Специалисты предположили инсульт, после чего была проведена компьютерная томография. Результаты очень сильно удивили экспертов: на месте правой лобной доли находилась пустота.
Финлей Браун предположил проведение операции в молодые годы, однако, по словам пациента, ничего подобного в его жизни не было. Осуществленная впоследствии магнитно-резонансная томография показала образовавшуюся в передней части черепа заполненную воздухом полость, которая достигала 9 см в поперечнике. Подобное явление называют «пневматоцеле»: оно может наблюдаться после травм, инфекций или хирургических операций.
В описанном случае причиной стала доброкачественная опухоль — остеома. Она образовалась в области решетчатой кости — непарной кости мозгового отдела человеческого черепа, отделяющей носовую полость от полости черепа. Из-за повреждения кости воздух начал попадать в череп, так что получился эффект одностороннего клапана.
Дальнейшие исследования показали, что возросшее давление в черепе вызвало незначительное кровоизлияние, которое и привело к появлению первоначальных симптомов. Медики предложили провести операцию, которая бы смогла предотвратить риск повторного кровоизлияния. Но пациент избрал консервативное лечение, опасаясь рисков. Уже через 12 недель больной заявил о нормальном самочувствии, так что лечение можно считать успешным.
Напомним, один из самых удивительных случаев медицинской практики, связанных с головным мозгом человека, имел место в 2014 году, когда из мозга китайца извлекли ленточного червя, прожившего там без малого четыре года.
,
Тем, кто уже прислал, огромное спасибо! Вы помогаете развиваться нашему проекту!
Источник: paranormal-news.ru